電話アイコン | 噛み合わせ治療・矯正歯科専門 荒谷デンタルクリニック 048-763-1566 診療時間 月〜土 10:00 -17:00 / 休診日 木・日祝

春日部市の歯医者|矯正歯科

矯正歯科とは?

矯正1

矯正歯科とは、歯並びや噛み合わせを正しく整えるための歯科治療です。
歯がきれいに並ぶことで、見た目の美しさはもちろん、むし歯や歯周病の予防、発音や咀嚼(そしゃく)の改善など、さまざまなメリットがあります。

また、噛み合わせのズレを整えることで、顎関節症や肩こりなどの全身の不調が改善されるケースもあります。

矯正が必要な歯並びの例

このような症状がある場合、矯正治療が効果的です。

歯並びの例 | 噛み合わせ治療・矯正歯科専門 荒谷デンタルクリニック 出っ歯(上顎前突)
歯並びの例 | 噛み合わせ治療・矯正歯科専門 荒谷デンタルクリニック 受け口(下顎前突)
歯並びの例 | 噛み合わせ治療・矯正歯科専門 荒谷デンタルクリニック 噛み合わせが開いている(開咬)
歯並びの例 | 噛み合わせ治療・矯正歯科専門 荒谷デンタルクリニック ガタガタの歯並び(叢生)

見た目の問題だけでなく、「噛みにくい」「発音しにくい」「歯が磨きにくい」といった機能面の問題にも繋がります。

見た目だけじゃない。
噛み合わせが引き起こす健康リスク

噛み合わせの乱れは、お口まわりだけの問題ではありません。
上下の歯の当たり方がずれることで、噛む動きに偏りが生まれ、知らないうちに体がそのズレを補おうとする状態になりやすくなります。

その結果、日常生活の中で「噛む」「飲み込む」「会話する」といった動作がスムーズに行いにくくなったり、負担を感じやすくなったりすることがあります。
さらに、噛むという動きは全身のバランスとも関わるため、噛み合わせの乱れが体全体の健康に影響するケースも少なくありません。
具体的には、次のような健康リスクが考えられます。

・顎の痛みや開口障害

痛みを避けて片側で噛むクセがつくと、顎関節や筋肉に負担が偏り、顎の疲れや違和感が長引く原因になります。
また、しっかり噛めず食事が偏りやすくなり、胃腸への負担や食事の楽しさの低下につながることもあります。

・慢性的な頭痛、首や肩のこり

首や肩の緊張が続くと、寝つきが悪くなったり眠りが浅くなったりして、睡眠の質が低下します。
その結果、朝起きても疲れが取れにくくなることがあります。
また、痛みや緊張が慢性化すると、体が常にストレス状態になり、だるさ・倦怠感・めまい・胃腸の不調などにつながる場合もあります。

・歯周病・歯ぐきへの負担

噛み合わせの偏りがあると、一部の歯や歯ぐきに強い力がかかり続けます。
その結果、歯ぐきが下がったり、歯が揺れやすくなるなど、歯周組織に負担が出ることがあります。

美しい歯列と機能性の両立で
生涯の健康に寄り添います。

当院では、歯並びの改善だけでなく、噛み合わせのバランスまで含めて精密に診断し、根本原因から整える治療を大切にしています。
単に歯を綺麗に並べるだけではなく、顎関節の状態や筋肉の緊張、噛む力のかかり方なども含めて総合的に確認し、長期的に安定する噛み合わせを目指して治療計画を立てています。

その場しのぎの対症的なアプローチではなく、噛み合わせが乱れる原因や負担が集中しているポイントを丁寧に見極めたうえで、一人ひとりに合った治療をご提案いたします。
噛み合わせは口の中だけの問題ではなく、全身のバランスにも関わる重要な要素です。詳しくはこちらをご覧ください。

噛み合わせ治療について

矯正治療

子どもの矯正(小児矯正)

成長を利用して、顎の骨の発達をコントロールできるのが小児矯正の特長です。
乳歯が残っている時期からの早期介入で、将来的な抜歯や本格矯正の負担を減らせる可能性があります。

子どもの矯正 | 噛み合わせ治療・矯正歯科専門 荒谷デンタルクリニック

大人の矯正(成人矯正)

歯や顎の成長が止まっていても、歯は移動可能です。
見た目を気にされる方には、目立たない矯正方法(審美的矯正器具およびワイヤー、マウスピース矯正)もご用意しています。
また、被せ物やインプラントと組み合わせた「部分矯正」も対応可能な場合があります。

子どもの矯正 | 噛み合わせ治療・矯正歯科専門 荒谷デンタルクリニック

矯正治療の種類

患者さまのご希望・ライフスタイル・症状に合わせて、最適な治療方法をご提案します。

ワイヤー矯正(表側)

歯の表面に装置を取り付け、ワイヤーで歯を動かすスタンダードな矯正方法。細かな調整がしやすく、幅広い症例に対応可能です。白く目立たない器具やワイヤーも、多くの場合可能です。

ワイヤー矯正

マウスピース矯正

透明なマウスピースを使用するため、装着していてもほとんど目立ちません。取り外しが可能で、食事や歯磨きも快適です。ただし、矯正治療の全ての期間で用いることができるわけではありませんので、ご相談ください。

マウスピース矯正

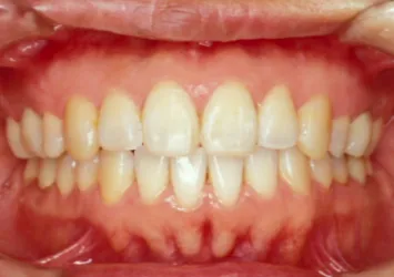
症例

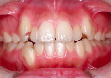
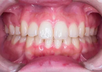
CASE 01

治療前

治療前写真 | 噛み合わせ治療・矯正歯科専門 荒谷デンタルクリニック

治療後

治療後写真 | 噛み合わせ治療・矯正歯科専門 荒谷デンタルクリニック
治療内容

矯正治療による咬合不全を改善したケース

費用

1,500,000円(全顎矯正治療)

期間

18ヶ月

相談内容

奥歯を噛み合わせたときに上下の前歯が噛み合わず隙間ができてしまう(開咬)

処置内容

マウスピース型矯正装置とワイヤー装置による全顎矯正

リスクと副作用

夜間にかみしめ癖があるため、歯を守るために就寝時はナイトガードの装着が必要

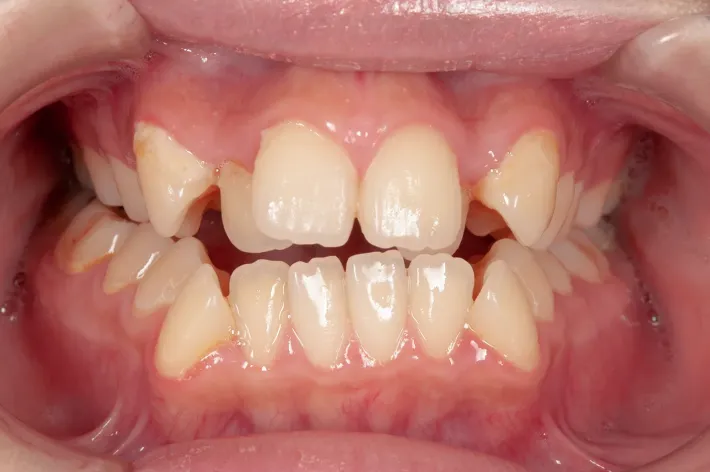
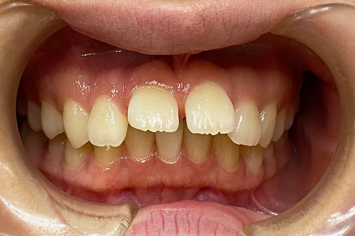
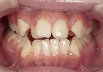
CASE 02

治療前

治療前写真 | 噛み合わせ治療・矯正歯科専門 荒谷デンタルクリニック

治療後

治療後写真 | 噛み合わせ治療・矯正歯科専門 荒谷デンタルクリニック
症例

矯正治療による咬合不全を改善したケース

費用

1,500,000円(全顎矯正治療)

期間

12ヶ月

相談内容

前歯が出ているのが気になる(上顎前突)。すきっ歯が気になる。

処置内容

マウスピース型矯正装置とワイヤー装置による全顎矯正

リスクと副作用

夜間にかみしめ癖があるため、歯を守るために就寝時はナイトガードの装着が必要

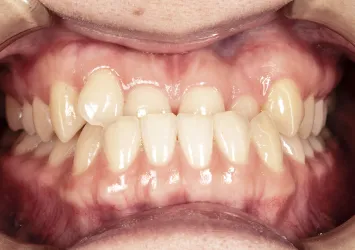
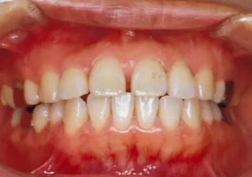
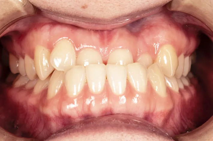
CASE 03

治療前

治療前写真 | 噛み合わせ治療・矯正歯科専門 荒谷デンタルクリニック

治療後

治療後写真 | 噛み合わせ治療・矯正歯科専門 荒谷デンタルクリニック
症例

矯正治療による咬合不全を改善したケース

費用

1,500,000円(全顎矯正治療)

期間

24ヶ月

相談内容

下の歯が上の歯より前に出ている(下顎前突)。

処置内容

マウスピース型矯正装置とワイヤー装置による全顎矯正

リスクと副作用

夜間にかみしめ癖があるため、歯を守るために就寝時はナイトガードの装着が必要

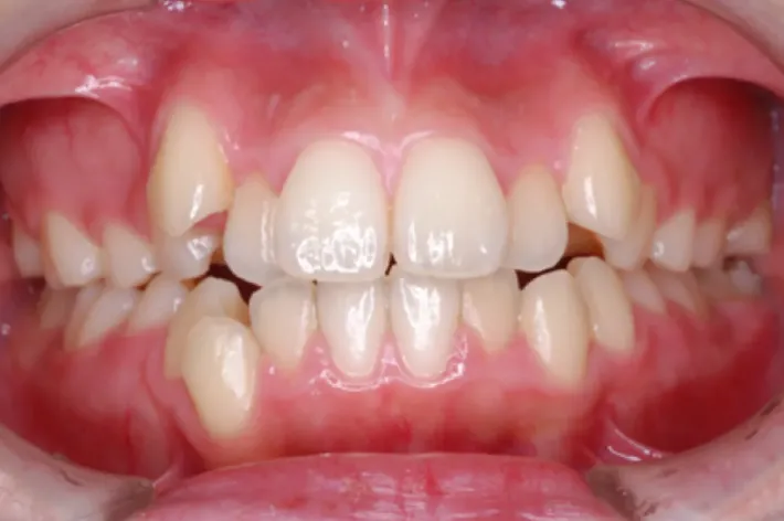
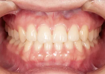
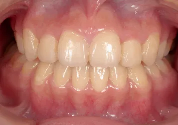
CASE 04

治療前

治療前写真 | 噛み合わせ治療・矯正歯科専門 荒谷デンタルクリニック

治療後

治療後写真 | 噛み合わせ治療・矯正歯科専門 荒谷デンタルクリニック
症例

矯正治療による咬合不全を改善したケース

費用

1,500,000円(全顎矯正治療)

期間

18ヶ月

相談内容

前歯がデコボコしているのが気になる(叢生)。

処置内容

マウスピース型矯正装置とワイヤー装置による全顎矯正

リスクと副作用

夜間にかみしめ癖があるため、歯を守るために就寝時はナイトガードの装着が必要

症例について
トータルフィー制

当院では、治療の途中で追加費用がかからない
トータルフィー制(定額制)を採用しています。

トータルフィーとは、矯正治療の初期から保定までに必要なすべての費用を、あらかじめ一括で設定した明朗な料金システムです。

調整費・保定費・メンテナンス費0円

「通うたびに費用が増えるのでは…」という不安なく、
最後まで安心して治療を受けていただけます。

料金詳細につきましてはこちらをご覧ください

料金詳細はこちら