電話アイコン | 噛み合わせ治療・矯正歯科専門 荒谷デンタルクリニック 048-763-1566 診療時間 月〜土 10:00 -17:00 / 休診日 木・日祝

春日部市の歯医者|症例紹介

矯正症例

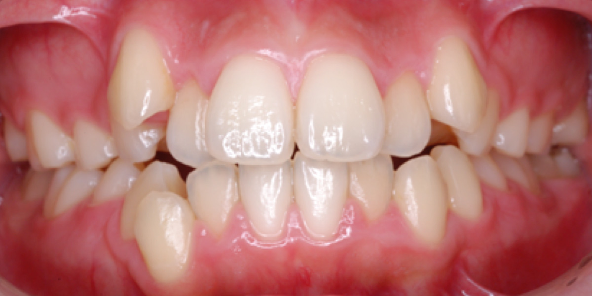
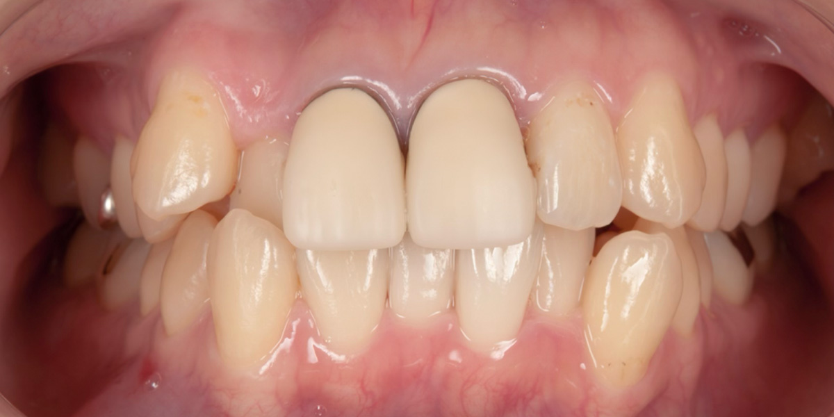
CASE 01 オープンバイト

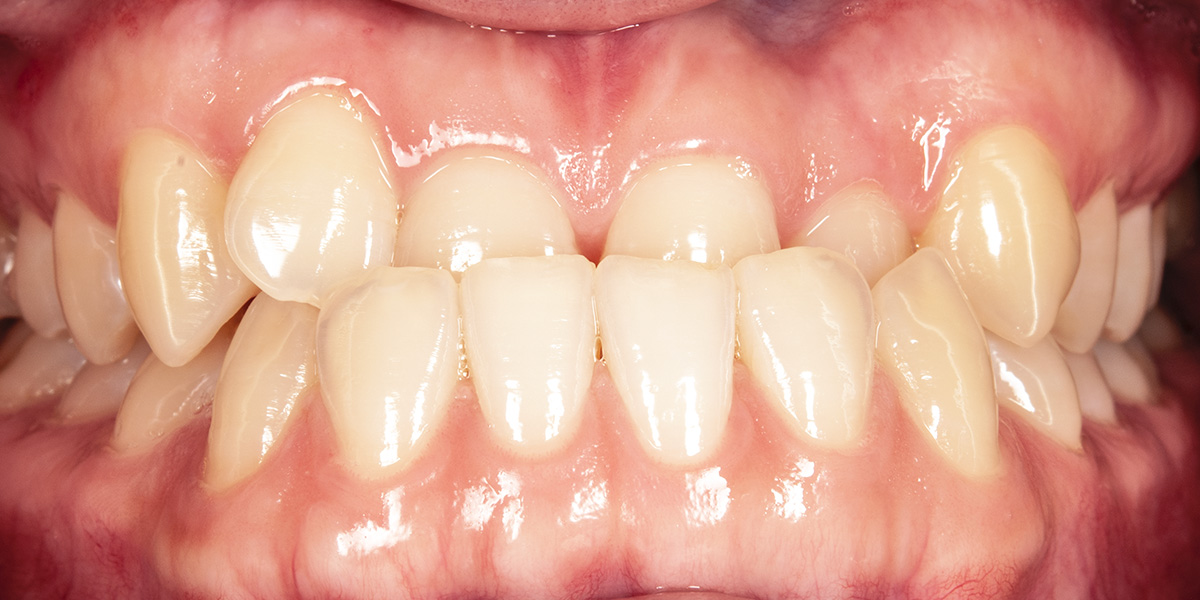
治療前

治療前写真 | 噛み合わせ治療・矯正歯科専門 荒谷デンタルクリニック

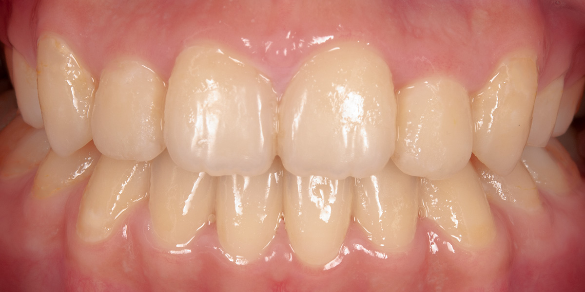
治療後

治療後写真 | 噛み合わせ治療・矯正歯科専門 荒谷デンタルクリニック
症例

矯正治療による咬合不全を改善したケース

費用

1,500,000円(全顎矯正治療)

期間

18ヶ月

相談内容

奥歯を噛み合わせたときに上下の前歯が噛み合わず隙間ができてしまう(開咬)

処置内容

マウスピース型矯正装置とワイヤー装置による全顎矯正

リスクと副作用

夜間にかみしめ癖があるため、歯を守るために就寝時はナイトガードの装着が必要

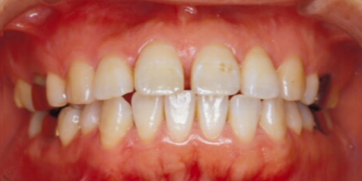
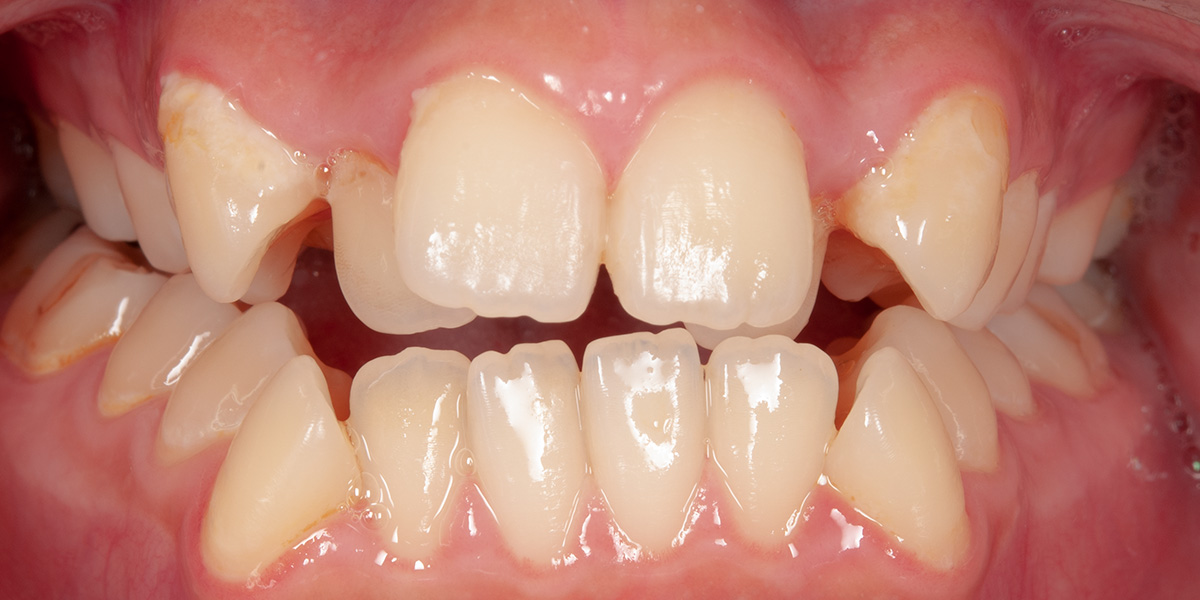
CASE 02 出っ歯

治療前

治療前写真 | 噛み合わせ治療・矯正歯科専門 荒谷デンタルクリニック

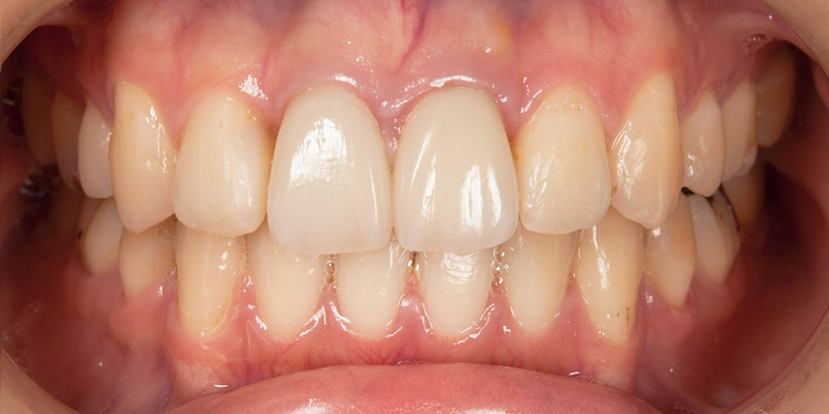
治療後

治療後写真 | 噛み合わせ治療・矯正歯科専門 荒谷デンタルクリニック
症例

矯正治療による咬合不全を改善したケース

費用

1,500,000円(全顎矯正治療)

期間

12ヶ月

相談内容

前歯が出ているのが気になる(上顎前突)。すきっ歯が気になる。

処置内容

マウスピース型矯正装置とワイヤー装置による全顎矯正

リスクと副作用

夜間にかみしめ癖があるため、歯を守るために就寝時はナイトガードの装着が必要

CASE 03 受け口

治療前

治療前写真 | 噛み合わせ治療・矯正歯科専門 荒谷デンタルクリニック

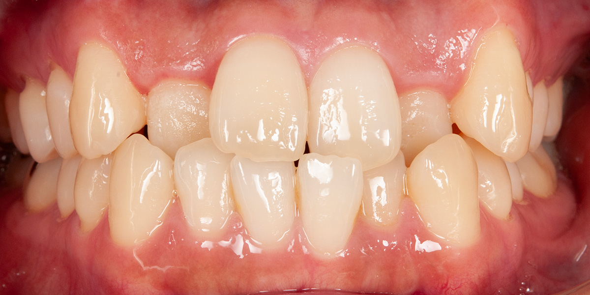
治療後

治療後写真 | 噛み合わせ治療・矯正歯科専門 荒谷デンタルクリニック
症例

矯正治療による咬合不全を改善したケース

費用

1,500,000円(全顎矯正治療)

期間

24ヶ月

相談内容

下の歯が上の歯より前に出ている(下顎前突)。

処置内容

マウスピース型矯正装置とワイヤー装置による全顎矯正

リスクと副作用

夜間にかみしめ癖があるため、歯を守るために就寝時はナイトガードの装着が必要

CASE 04 叢生

治療前

治療前写真 | 噛み合わせ治療・矯正歯科専門 荒谷デンタルクリニック

治療後

治療後写真 | 噛み合わせ治療・矯正歯科専門 荒谷デンタルクリニック
症例

矯正治療による咬合不全を改善したケース

費用

1,500,000円(全顎矯正治療)

期間

18ヶ月

相談内容

前歯がデコボコしているのが気になる(叢生)。

処置内容

マウスピース型矯正装置とワイヤー装置による全顎矯正

リスクと副作用

夜間にかみしめ癖があるため、歯を守るために就寝時はナイトガードの装着が必要

CASE 05 叢生(部分)

治療前

治療前写真 | 噛み合わせ治療・矯正歯科専門 荒谷デンタルクリニック

治療後

治療後写真 | 噛み合わせ治療・矯正歯科専門 荒谷デンタルクリニック
症例

矯正治療による咬合不全を改善したケース

費用

900,000円(部分矯正治療)

期間

10ヶ月

相談内容

前歯がデコボコしているのが気になる(叢生)。

処置内容

マウスピース型矯正装置とワイヤー装置による前歯の部分矯正

リスクと副作用

夜間にかみしめ癖があるため、歯を守るために就寝時はナイトガードの装着が必要

CASE 06

治療前

治療前写真 | 噛み合わせ治療・矯正歯科専門 荒谷デンタルクリニック

治療後

治療後写真 | 噛み合わせ治療・矯正歯科専門 荒谷デンタルクリニック
症例

前歯部の部分矯正とe-maxクラウンによる審美修復をしたケース

費用

900,000円 (部分的矯正治療:600,000円 2本のオールセラミックス補綴治療:300,000円)

期間

3ヶ月(スピード治療)

相談内容

海外移住前に短期間で前歯の見た目を改善したい。

処置内容

部分的矯正治療 + (上の左右前歯)2本のみの審美補綴治療

リスクと副作用

後戻りや知覚過敏、セラミック破損の可能性

難症例

CASE 01

治療前

治療前写真 | 噛み合わせ治療・矯正歯科専門 荒谷デンタルクリニック

治療後

治療後写真 | 噛み合わせ治療・矯正歯科専門 荒谷デンタルクリニック
症例

矯正・インプラント・補綴で咬合不全を改善したケース

費用

5,100,000円 (矯正治療総額:1,500,000円 インプラント:600,000円 補綴総額:3,000,000円)

期間

3年間

相談内容

歯の色が黒変しボロボロになっていた。またかみ合わせも悪いので改善したい

処置内容

顎関節治療・インプラント(乳歯)・オールセラミックスによる補綴治療
・噛み合わせ治療

リスクと副作用

夜間にかみしめ癖があるため、歯を守るために就寝時はナイトガードの装着が必要。

CASE 02

治療前

治療前写真 | 噛み合わせ治療・矯正歯科専門 荒谷デンタルクリニック

治療後

治療後写真 | 噛み合わせ治療・矯正歯科専門 荒谷デンタルクリニック
治療内容

矯正・補綴で咬合不全を改善したケース

費用

1,500,000円 (矯正治療総額:600,000円 補綴総額:900,000円)

期間

10ヶ月

相談内容

下の前歯が上の前歯を突き上げて上顎前突になっているのを改善したい。

処置内容

部分矯正治療と上下前歯オールセラミック治療

リスクと副作用

4ヶ月に一度の定期クリーニングにより口腔内の健康維持が達成されている。

CASE 03

治療前

治療前写真 | 噛み合わせ治療・矯正歯科専門 荒谷デンタルクリニック

治療後

治療後写真 | 噛み合わせ治療・矯正歯科専門 荒谷デンタルクリニック
治療内容

矯正・歯の移植・補綴で咬合不全を改善したケース

費用

5,000,000円 (矯正治療総額:1,500,000円 + ミニインプラント: 300,000円 歯の移植手術(専門医委託:200,000円 補綴総額:3,000,000円)

期間

2.5年間

相談内容

他院(かみ合わせ専門医)で長期にわたる咬合治療(マウスピース治療)をうけたが、前歯部開口(オープンバイト)がますます悪化していった。これも他院にて対応できなかった症例(お手上げ状態)です。インプラントをなるべく避けて咬合治療をしてほしい。

処置内容

ミニスクリューインプラントを用いた矯正治療と歯の移植、最後に最低限度の補綴治療(ラミネートベニアセラミックスを用いて歯の削除を行わずに補綴治療を施した症例:(学会専門誌掲載症例))

リスクと副作用

夜間にかみしめ癖があるため、歯を守るために就寝時はナイトガードの装着が必要。4ヶ月に一度の定期クリーニングにより口腔内の健康維持が達成されている。